【信安牙醫─兒童矯正】帥氣歐爸從小培養!醫師解密「兒童隱適美」vs「功能性矯正」
孩子有暴牙、戽斗、齒列凌亂等問題該怎麼辦呢?小朋友還沒換牙、乳牙才剛換一兩顆,是否等恆牙都長完再來進行牙齒矯正呢?兒童矯正專家、信安牙醫診所院長邱琬棋指出,由於早期咬合不正會影響咀嚼、發音、甚發育,所以早期發現、早期介入,醫師在治療上可發揮的空間較多。本篇文章就來跟大家分析兒童矯正的最佳時機點以及各種矯正方式。
兒童矯正最佳時期?不同階段、不同做法
到底什麼時機點該介入矯正呢?邱琬棋醫師認為可以分成二個階段來討論,包含乳牙期、混合齒列期。
⭕️乳牙期(4-6歲):可透過肌功能矯正,訓練兒童口腔肌肉,讓口腔的肌肉力量增加、分布均勻之後,牙齒也會跟著變整齊。
⭕️混合齒列期(6-12歲):在混合齒列期的孩子也可以接受矯正,不須等到恆牙都換完,Invisalign First兒童隱適美矯正就是專為兒童設計的矯正器!
同樣都是針對兒童!兒童隱適美(Invisalign First)與功能性矯正是什麼?差別又在哪?
▋ 兒童隱適美(Invisalign First):
兒童隱適美主要是針對6~12歲在混合齒列時期的孩童,在治療效果上分為兩個部分:一個是牙齒的排列,另一個是牙弓的擴張。
兒童隱適美的好處是能夠針對個別牙齒排列加以引導,讓牙齒排列整齊,並透過改變牙弓的弧度、寬度及長度,改變暴牙、小下巴等問題;另一項特點則是上顎牙弓寬度的增加,同時也會增加上方呼吸道的寬度,也有利於改善口呼吸問題的小朋友。
▋ 功能性矯正:
功能性矯正是一種肌肉功能訓練器,主要是針對4歲以上的孩童在乳牙時期或早期混合齒列期錯誤的口腔習慣,例如:口呼吸、不正確的舌位、不正確的吞嚥方式、吸吮手指等等,來進行根本性的治療。配合訓練呼吸及舌頭的運動,讓尚未發育完全與定型的骨骼能朝理想模式發展,可促進下顎往前生長,改善小下巴,臉型及牙齒排列也能因此獲得改善。
▋ 一張表看懂「兒童隱適美vs功能性矯正」:

研究指出,年齡越大的小孩,單靠功能性矯正要達到上顎的擴張是較不顯著的,需要額外的裝置。比起功能性矯正,兒童隱適美在穿戴上較為舒適,可以同時進行上顎牙弓擴張,調整下顎往理想方向生長,另外在牙齒排列方面,兒童隱適美也能達到更好的治療效果。
接下來就來看看兒童隱適美如何讓亂牙小弟變身帥氣小歐巴!
延伸影片:【Dr.Maggie矯正會客室】超多爸媽都在問!小朋友矯正要找兒童還是矯正專科?!ft.兒童牙科專科-陳思如醫師
兒童隱適美案例分享─短短一年,脫序亂牙列隊排好!
A小弟在矯正前最大的問題為齒列擁擠,並有輕微暴牙。透過兒童隱適美為期一年的矯正時間,牙齒已全數歸位整齊!一起來看看A小弟矯正前後對比!
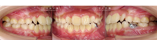
▋ 矯正前:

▲案例A小弟牙齒凌亂、齒列擁擠,側面看略有暴牙問題。

▲牙骨與牙齒關係不協調導致空間不足。
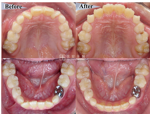
▋ 矯正前vs矯正後:

▲短短一年的時間,就把原本擁擠的齒列矯正到正確的位置上,也讓恆齒有足夠的生長空間;原本門牙上下中線不對稱,在矯正後也對齊了。

▲同時調整上下顎齒列,讓暴牙往內推。

▲透過上顎的擴張,讓擁擠的牙齒都歸隊排好,牙齒參差不齊的歪斜角度也達到一致,臉型也能一併獲得調整。

▲對比矯正前,A小弟微微一笑就能露出整齊無比的牙齒,帥度倍增!
一口整潔的牙齒,帶來健康與自信
想要綻放自信的笑容,一口整潔亮白的牙齒不可少!然而孩童矯正還需要整體評估,包括孩子的臉形、年齡、生長趨勢、咬合、換牙情形以及孩子的配合度,以上都應交由專業的矯正醫師來評估與執行。
信安牙醫診所
諮詢專線:02-8952-1557
Line諮詢:https://line.me/R/ti/p/%40tht3118u
FB諮詢:https://www.messenger.com/t/trustdental267/
矯正計畫線上諮詢:https://reurl.cc/L3y1b9



