【信安牙醫-邱琬棋醫師】隱適美全球資料庫得獎案例/反「暴」為正!暴牙小弟變身陽光型男
孩子有兔寶寶牙、暴牙或是咬合不正的問題嗎?健康發育的牙齒給孩子自信的笑容,也減少因牙齒造成咬合不正、咀嚼障礙等其他健康問題。信安牙醫診所邱琬棋醫師分析,青少年階段也正是牙齒矯正的黃金時期,目前有專門適合青少年使用的隱適美─Invisalign Teen以及下顎前導技術─Invisalign Mandibular Advancement,可作為青少年矯正使用。

▲今天就要來分享由隱適美官方協會頒予邱琬棋醫師的「隱適美全球得獎案例(Global Invisalign Gallery)」,快來看看12歲的暴牙小弟-Tony,其治療計畫如何獲得全球肯定?邱琬棋醫師如何巧手「反暴為正」!

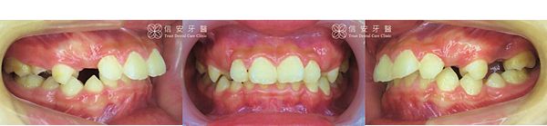
▲Tony的上門牙向前暴出,有嚴重深咬現象,也導致上顎較突出,下顎後縮。

▲Tony屬於第二級咬合不正,合併有深咬、暴牙、牙齒擁擠等問題。
通常暴牙如果沒有在青少年時期即時矯正,未來有一部分的成人會需要進行拔牙矯正,或是嚴重案例則需要使用正顎手術。而此階段的孩子相當適合透過「青少年隱適美+MA」來矯正,利用他們仍具有的生長潛力,改善顎骨生長發育不足,來達到穩定美觀的咬合。
「隱適美Teen+MA」矯正,讓孩子默默重拾燦爛笑容
隱適美針對尚在發育的青少年,發展出「青少年隱適美」,可預留空間給恆齒尚在萌發的青少年;而「隱適美MA」,則專門解決小下巴、下顎骨發育不足的問題,最佳治療年齡為9~13歲。

▲青少年版的隱適美有藍色顯示點,隨著矯正計畫愈接近完成,藍色點會逐漸變淺。

▲MA的設計是在牙套的左右兩側有上下透明的小翅膀,藉此來誘導顎骨生長。
【隱適美MA矯正三階段】
▋ 第一階段:下顎前導預備階段(Pre-MA Phase)
透過初期牙齒移動,創造空間來放置精密翼托,進而解除部份深咬、錯咬,並做到基本的牙齒整平。當精密翼托具有足夠的空隙放置時,患者就可以開始下顎前導階段。
▋ 第二階段:下顎前導階段(MA-Phase)
這階段的目標是矯正第二級咬合不正,排齊牙齒。根據預設的進度,患者會以每次2毫米的距離,逐步實現下顎前導,同時擴大牙弓、創造空間,並維持牙弓的協調。
▋ 第三階段:標準隱適美療程(Transitional Bite/ Treatment Goal)
最後階段的目標就在於牙齒的整平與排列了。完成此步驟後,整套的隱適美MA矯正療程就算大功告成!
短短一年半,暴牙小弟搖身一變陽光「型」男!
馬上來親眼瞧瞧Tony透過「隱適美Teen+MA」矯正的驚人差異:
▲可以看出Tony在矯正之後,暴牙明顯往內推,矯正過程也預留恆齒的生長空間。

▲隱適美MA可以做到擴弓、引導顎骨生長的效果。

▲從X光可以看到,上顎往內縮、下顎往前生長,原本奔放的齒列已全數列隊排好。
▲點開影片透過動畫來回顧一下18個月以來的矯正變化,這也是隱適美矯正的特色之一,能透過電腦模擬預先規劃整個矯正療程

▲對比矯正前後,Tony下巴的線條立體許多,現在的笑容也變得比以前更陽光開朗!
正值青少年階段的Tony,開始會在意外表、同學的眼光,也因此透明美觀的隱適美牙套,不僅外觀看不出來,運動、吃飯都不受影響,也大幅提升Tony矯正的意願。隱適美矯正專家邱琬棋醫師指出,青少年矯正評估包含牙齒模型、臉部及口內照片、口內外 X 光攝影等等,綜合分析各項資料後,才能作出正確診斷,擬定較周詳的治療計畫,提早矯正也能減緩問題惡化,提醒家長務必定期帶孩子檢查牙齒,及早擬定矯正計畫!
信安牙醫診所
諮詢專線:02-8952-1557
Line諮詢:https://line.me/R/ti/p/%40tht3118u
FB諮詢:https://www.messenger.com/t/trustdental267/
矯正計畫線上諮詢:https://reurl.cc/L3y1b9




