【信安牙醫-邱琬棋醫師】全球隱適美全球資料庫得獎案例/戽斗妹矯正 月亮臉一年變美顏
月亮般的臉型讓你不堪其擾?想要變美又不想要在臉上動刀?信安牙醫.邱琬棋醫師透過免動刀的隱形矯正技術,免拔牙、免動刀,只需一年半的時間,就能「反轉戽斗人生」!底下就馬上來看看由隱適美官方協會頒予邱琬棋醫師的「隱適美全球案例(Global Invisalign gallery)」,「反轉戽斗」的效果到底是怎麼辦到的?

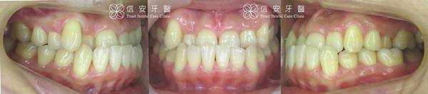
▲案例小靜主訴是第三級咬合不正、下顎反咬,下唇嚴重外翻,外型有嚴重戽斗。

▲上下顎的錯咬情形嚴重,影響外觀甚鉅。
小靜因為不想要開刀,曾跑過多家診所諮詢,得到的結果都是需要開刀才能解決,後來她找到了邱琬棋醫師,得到了一個很不一樣的答案:「不需動刀就能解決所有問題。」
不斷精進的數位醫療:「隱形矯正」也能改變臉型!

▲隱形矯正技術問世三十多年,「隱適美」為較知名、臨床案例豐富的品牌,備有「隱形、舒適、數位化」等特色,讓隱適美成為矯正的領導品牌。
然而剛上市時,隱適美處理的案例其實尚未複雜化,初期還是多要配合開刀或傳統矯正,直到不斷改良精進,再藉由專業醫師獨到的技術與經驗,短短數年隱形矯正就已突破過去多數限制,累積數百萬複雜案例,豐富的資料庫系統,讓醫師能夠彼此交流所有複雜案例。
【隱適美特色一覽】
隱形:相較傳統式鋼牙矯正,隱形矯正讓使用者不再經歷變醜的過度期,悄悄變美超自然!
舒適:沒有鋼線與橡皮筋的束縛,不會刮嘴、異物感低,還可自由拿下來大啖美食!
數位化:經由電腦傳輸精準數據製作系列隱形牙套,矯正精準化,並可預覽矯正後成果!
不可或缺的成功關鍵:「醫師專業」
至今「戽斗」案例大部份還是須由開刀解決,然而經過醫師深度有效的評估,免動刀就能解決戽斗的機率已大幅提升,像是此次的得獎案例就是免動刀矯正。

▲隱適美官方協會從世界各地精選優秀案例,頒予優秀醫師「隱適美全球資料庫得獎案例(Global Invisalign gallery)」,作為隱適美矯正界的典範。邱琬棋醫師處理的個案豐富且複雜,不僅連數次獲獎、登榜官方首頁,也擔任過多次國際隱形矯正的訓練講師,分享矯正案例與技術。

▲「隱適美全球資料庫得獎案例(Global Invisalign gallery)」是從世界各國25萬的醫師案例中挑選,僅有0.06%的得獎機率,邱琬棋醫師連續獲獎多次,功力深獲肯定。
只要一年,戽斗「神反轉」!
底下就一起來看看戽斗反轉後的驚人成果:

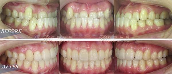
▲小靜只花一年時間,就把原本異常的咬合關係矯正到正確位置上,現在講話再也不「漏風」了!

▲側面錯咬的情形也已經改善

▲小靜一顆牙都沒有拔!牙齒卻依舊排列的相當理想整齊

▲從X光可以看到,原本「地包天」的下顎過長問題已得到解決,變成正確的咬合囉!
漂亮臉型,操之於專業

▲連小靜自己都覺得不可思議,不用動刀、不用拔牙、一年的時間就可以有如此巨大的改變,輕鬆又快速的療程讓她不禁大為慶幸:自己找對醫生了!

▲對比矯正前,小靜現在的笑容變得比以前更自然漂亮並且充滿自信!
你是否也希望,能夠用更輕鬆的方式變美?邱琬棋醫師憑藉深度專業與豐富經驗,在「隱適美全球得獎案例(Global Invisalign gallery)」中為常駐班底,許多案例經過邱琬棋醫師評估,透過隱形矯正往往可以有機會免動刀、免拔牙、短時間舒適輕鬆搞定複雜問題。還在為一口亂牙、不理想的臉型感到困擾?快跟著小靜一起,走一趟簡單的變美之路!
信安牙醫診所
諮詢專線:02-8952-1557
Line諮詢:https://line.me/R/ti/p/%40tht3118u
FB諮詢:https://www.messenger.com/t/trustdental267/
矯正計畫線上諮詢:https://reurl.cc/L3y1b9



